¸ÃÏîÑо¿Ð§¹ûÒÑÔÚ¡¶Frontiers in Oncology¡·ÆÚ¿¯£¨IF: 5.006£©½ÒÏþ£¬£¬£¬£¬£¬£¬£¬£¬½øÒ»²½¸»ºñÁËҽѧ½ç¶Ô¼××´ÏÙ¼²²¡µÄÊìϤ£¬£¬£¬£¬£¬£¬£¬£¬Õ¹ÏÖÁË·Ö×Ó¼ì²âÊÖÒÕÔÚ¼××´ÏÙ¼²²¡¾«×¼ÕïÁÆÖеÄÓ¦ÓüÛÖµ¡£¡£¡£¡£¡£¡£¡£

ÂÛÎÄÐû²¼½ØÍ¼
Ñо¿Åä¾°
¼××´ÏÙ°©ÊÇÒ»ÖÖÆðÔ´ÓÚ¼××´ÏÙÂËÅÝÉÏÆ¤»òÂËÅÝÅÔÉÏÆ¤Ï¸°ûµÄ¶ñÐÔÖ×Áö£¬£¬£¬£¬£¬£¬£¬£¬Ò²ÊÇÍ·¾±²¿×îΪ³£¼ûµÄ¶ñÐÔÖ×ÁöÖ®Ò»¡£¡£¡£¡£¡£¡£¡£½üÄêÀ´£¬£¬£¬£¬£¬£¬£¬£¬È«Çò¹æÄ£ÄÚ¼××´ÏÙ°©µÄ·¢²¡ÂÊÔöÌíѸËÙ¡£¡£¡£¡£¡£¡£¡£¾ÝÌìÏÂÖ×Áö¹ÒºÅÖÐÐĵÄÊý¾ÝÏÔʾ£¬£¬£¬£¬£¬£¬£¬£¬ÎÒ¹ú¼××´ÏÙ°©½«ÒÔÿÄê20%µÄËÙÂÊÒ»Á¬ÔöÌí£¬£¬£¬£¬£¬£¬£¬£¬¶¼»áµØÇøÅ®ÐÔ¼××´ÏÙ°©·¢²¡ÂÊλ¾ÓÅ®ÐÔËùÓжñÐÔÖ×ÁöµÄµÚ4λ¡£¡£¡£¡£¡£¡£¡£
OCA×÷ΪһÖÖÓÐÊýÇÒ¾ßÓÐÇÖÏ®ÐԵļ××´ÏÙ°©£¬£¬£¬£¬£¬£¬£¬£¬Í¨³£ÌåÏÖ³ö½Ï¸ßµÄ×ªÒÆÇ±ÄÜ£¬£¬£¬£¬£¬£¬£¬£¬µ¼Ö½ϲîµÄÔ¤ºó¡£¡£¡£¡£¡£¡£¡£OCAµÄÕï¶Ï¾ßÓÐÏÔÖøµÄÌôÕ½ÐÔ£¬£¬£¬£¬£¬£¬£¬£¬ÓÈÆäÊÇÆäÁÙ´²ÌåÏÖÓëÁ¼ÐÔÊÈËáϸ°ûÏÙÁö¸ß¶ÈÏàËÆ£¬£¬£¬£¬£¬£¬£¬£¬¹Å°åµÄ¼××´ÏÙ³¬ÉùºÍϸÕë´©´Ì»î¼ì£¨FNAB£©ÍùÍùÄÑÒÔ×¼È·Çø·Ö¡£¡£¡£¡£¡£¡£¡£
Ñо¿ÏÔʾTERTÆô¶¯×ÓÍ»±äÊÇTERT¼¤»îµÄÖ÷ÒªÐÎʽ£¬£¬£¬£¬£¬£¬£¬£¬ÔÚ¼××´ÏÙ°©¡¢ÄÔ½ºÖÊÁö¡¢¸Î°©µÈ¶àÖÖ¶ñÐÔÖ×ÁöÖÐ¸ßÆµ±¬·¢£¬£¬£¬£¬£¬£¬£¬£¬ÇÒÓë²»Á¼Ô¤ºóÏà¹Ø¡£¡£¡£¡£¡£¡£¡£ÓÈÆäÔÚ¼××´ÏÙ°©ÖУ¬£¬£¬£¬£¬£¬£¬£¬Ëæ×ż××´ÏÙ°©·Ö½âˮƽµÄ½µµÍ£¬£¬£¬£¬£¬£¬£¬£¬TERTÆô¶¯×ÓÍ»±äƵÂÊÏÔ×ÅÔö¸ß£¬£¬£¬£¬£¬£¬£¬£¬ÌáÐÑTERTÔÚÖ×ÁöÈ¥·Ö½â¼°¶ñ»¯Àú³ÌÖÐʩչÖ÷Òª×÷Óᣡ£¡£¡£¡£¡£¡£È»¶ø£¬£¬£¬£¬£¬£¬£¬£¬ÓÉÓÚÆäÍ»±äλµãµÄÌØÊâÐÔ£¬£¬£¬£¬£¬£¬£¬£¬¹Å°å¼ì²âÒªÁìÍùÍùÄÑÒÔÔÚÔçÆÚ׼ȷ²¶»ñµ½Õâһͻ±ä£¬£¬£¬£¬£¬£¬£¬£¬¸øÁÙ´²Õï¶Ï´øÀ´Á˲»Ð¡µÄÄѶȡ£¡£¡£¡£¡£¡£¡£
½üÄêÀ´£¬£¬£¬£¬£¬£¬£¬£¬Ëæ×Å·Ö×Ó¼ì²âÊÖÒÕµÄǰ½ø£¬£¬£¬£¬£¬£¬£¬£¬Ê¶±ðTERTÆô¶¯×ÓÍ»±ä£¬£¬£¬£¬£¬£¬£¬£¬²»µ«ÎªOCAµÄ¾«×¼Õï¶ÏÌṩÁËÐÂÊӽǣ¬£¬£¬£¬£¬£¬£¬£¬Ò²Îª¸öÌ廯ÖÎÁƼƻ®µÄÖÆ¶©ÌṩÁËÖ÷ÒªµÄ·Ö×ÓÒÀ¾Ý¡£¡£¡£¡£¡£¡£¡£
Ñо¿ÄÚÈÝ
»¼Õß»ù±¾ÇéÐÎÓëÁÙ´²ÌåÏÖ
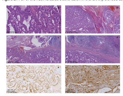
±¾Àý»¼ÕßΪ84ËêÅ®ÐÔ£¬£¬£¬£¬£¬£¬£¬£¬ÒòÑÏÖØºôÎüÄÑÌ⣨ÖÏÏ¢£©ÖÁ¼±Õï¿Æ¾ÍÕï¡£¡£¡£¡£¡£¡£¡£ÈëԺǰ7Ìì·ºÆð¿ÈËÔ¡¢¿È̵£¬£¬£¬£¬£¬£¬£¬£¬°éÒûË®ºóºôÎüÄÑÌ⡢Ǻ¿È¸Ð¡£¡£¡£¡£¡£¡£¡£Ëæ×ÅÖ¢×´¶ñ»¯£¬£¬£¬£¬£¬£¬£¬£¬»¼Õß·ºÆðºôÎüÞ׾ݺÍÒâʶ¸Ä±ä£¬£¬£¬£¬£¬£¬£¬£¬ÔÚÍâµØÒ½Ôº½ÓÊÜÁ˳õʼÖÎÁÆ£¬£¬£¬£¬£¬£¬£¬£¬µ«²¡Çéδ¼û»º½â£¬£¬£¬£¬£¬£¬£¬£¬±»×ªµ½Ìì½òÒ½¿Æ´óѧ×ÜÒ½ÔºICU¡£¡£¡£¡£¡£¡£¡£CTɨÃèЧ¹ûÏÔʾ£¬£¬£¬£¬£¬£¬£¬£¬¼××´ÏÙ×óÒ¶ÓÐÒ»¸öʵÐÔ²¡±ä£¬£¬£¬£¬£¬£¬£¬£¬µ¼ÖÂÆø¹ÜեȡºÍÆ«Àë¡£¡£¡£¡£¡£¡£¡£²¡ÀíÆÊÎöÏÔʾ£¬£¬£¬£¬£¬£¬£¬£¬Ö×Áöϸ°û¾ßÓÐÊÈËáϸ°ûÌØÕ÷£¬£¬£¬£¬£¬£¬£¬£¬²¢ÇÒ·ºÆð³ö¾Ö²¿»µËÀºÍѪ¹ÜÖ×ÁöѪ˨Ðγɣ¨ÈçÏÂͼËùʾ£©¡£¡£¡£¡£¡£¡£¡£


·Ö×Ó¼ì²âÖúÁ¦È·ÕïOCA
ͨ¹ý2121·Ç·²µÄ·Ö×Ó¼ì²âƽ̨£¬£¬£¬£¬£¬£¬£¬£¬ÏÔʾTERTÆô¶¯×ÓC228TÍ»±ä£¬£¬£¬£¬£¬£¬£¬£¬BRAF¡¢HRAS¡¢KRAS¡¢NRAS¡¢TP53¡¢RET¡¢NTRK1¡¢NTRK3¡¢PAX8ºÍTHADAЧ¹û¾ùΪÒõÐÔ¡£¡£¡£¡£¡£¡£¡£»£»£»£»£»¼Õß±»È·ÕïΪTERTÆô¶¯×ÓÍ»±äOCA£¬£¬£¬£¬£¬£¬£¬£¬¸ÃÍ»±äÔÚ¼××´ÏÙ¶ñÐÔÖ×ÁöÖоßÓнϸߵÄÇÖÏ®ÐÔ¡£¡£¡£¡£¡£¡£¡£¸Ã¼ì²âЧ¹ûÕ¹ÏÖÁË·Ö×ÓÕï¶ÏÔÚÓÐÊý¶ñÐÔÖ×ÁöÕï¶ÏÖеÄÒªº¦×÷Ó㬣¬£¬£¬£¬£¬£¬£¬×ÊÖúÁÙ´²Ò½ÉúÖÆ¶©¸üΪ¾«×¼µÄÖÎÁƼƻ®¡£¡£¡£¡£¡£¡£¡£
ÖÎÁƼƻ®ÓëÔ¤ºó
ƾ֤¼ì²âЧ¹û£¬£¬£¬£¬£¬£¬£¬£¬»¼ÕßЯ´øTERTÆô¶¯×ÓC228TÍ»±ä¡£¡£¡£¡£¡£¡£¡£Õâһͻ±äÌáÐÑÖ×Áö¾ßÓнϸߵÄÇÖÏ®ÐÔ¡£¡£¡£¡£¡£¡£¡£¿£¿£¿£¿£¿£Ë¼Á¿µ½ÕâÒ»ÐÅÏ¢£¬£¬£¬£¬£¬£¬£¬£¬ÁÙ´²¾öÒé½ÓÄɸöÌ廯ÖÎÁƼƻ®£¬£¬£¬£¬£¬£¬£¬£¬ÒÔ¿ØÖÆÖ×ÁöµÄÏ£Íû²¢½µµÍÊÖÊõΣº¦¡£¡£¡£¡£¡£¡£¡£ÓÉÓÚ»¼Õ߸ßÁäºÍºÏ²¢Ö¢£¬£¬£¬£¬£¬£¬£¬£¬ÖÎÁÆÕ½ÂÔÓÅÏÈ˼Á¿»º½âÆøµÀեȡ²¢ïÔÌÊõºó²¢·¢Ö¢¡£¡£¡£¡£¡£¡£¡£×îÖÕ£¬£¬£¬£¬£¬£¬£¬£¬»¼Õß½ÓÊÜÁË×ó²à¼××´ÏÙÇгýºÍÏ¿²¿ÇгýÊõ£¬£¬£¬£¬£¬£¬£¬£¬×èÖ¹ÁËÈ«¼××´ÏÙÇгýµÄΣº¦¡£¡£¡£¡£¡£¡£¡£Êõºó£¬£¬£¬£¬£¬£¬£¬£¬»¼ÕߵĺôÎüÞ׾ݻñµÃÁË»º½â£¬£¬£¬£¬£¬£¬£¬£¬ºóÐø½«¾ÙÐа´ÆÚËæ·Ã£¬£¬£¬£¬£¬£¬£¬£¬²¢×ÃÇé¾ÙÐиÉÔ¤¡£¡£¡£¡£¡£¡£¡£
Ñо¿Ð¡½á
ÍíÄê¼××´ÏÙ°©»¼ÕßÒòºÏ²¢Ö¢¶øÃæÁÙ¸ü¸ßµÄÊÖÊõΣº¦£¬£¬£¬£¬£¬£¬£¬£¬¶øÖ×ÁöÏ£Íûµ¼ÖµÄÁÙ´²²¢·¢Ö¢£¨ÈçÆøµÀÛÕ±Õ»òÉñ¾ËðÉË£©¿Éʹϳ¡½øÒ»²½Öش󻯣¬£¬£¬£¬£¬£¬£¬£¬Òò´ËÐèÒª½ÓÄÉÏÖÐÐÖ¸ÄϽ¨ÒéµÄ¸üÊØ¾ÉµÄÖÎÁÆÒªÁì¡£¡£¡£¡£¡£¡£¡£È»¶ø£¬£¬£¬£¬£¬£¬£¬£¬¶ÔÍíÄ껼ÕßµÄÔ¤ºóÆÀ¹ÀÈÔÈ»ÊÇÒ»¸öÌôÕ½£¬£¬£¬£¬£¬£¬£¬£¬ÓÈÆäÊǵ±¼××´ÏÙÒ¶ÇгýÊõµÈÊÖÊõÑ¡ÔñÊܵ½»¼Õß²¡ÇéÏÞÖÆÊ±¡£¡£¡£¡£¡£¡£¡£
±¾ÀýÑо¿ÊÇÊ׸ö±»±¨µÀµÄÒÔÖÏÏ¢ºÍTERTÆô¶¯×ÓÍ»±äΪÌåÏÖµÄOCA²¡Àý¡£¡£¡£¡£¡£¡£¡£Ö»¹Üͨ¹ý³¬Éù¼ì²é·¢Ã÷ÁËÒ»¸öÏÔÖøµÄ¼××´ÏÙ½á½Ú£¬£¬£¬£¬£¬£¬£¬£¬µ«ÓÉÓÚ»¼ÕßÄêËê½Ï´ó£¬£¬£¬£¬£¬£¬£¬£¬Í¨¹ýFNAB¾ÙÐнøÒ»²½Õï¶ÏµÄÊÂÇé±»ÍÆ³Ù¡£¡£¡£¡£¡£¡£¡£ÎªÁËÇø·ÖÖ×ÁöµÄÁ¼ÐÔÓë¶ñÐÔ£¬£¬£¬£¬£¬£¬£¬£¬ÓÈÆäÕë¶ÔTERTÆô¶¯×ÓÍ»±äµÄOCA£¬£¬£¬£¬£¬£¬£¬£¬·Ö×Ó¼ì²âÔÚÍêÉÆÖÎÁƾöæÅºÍ×èÖ¹¼²²¡Ï£Íû·½ÃæÊ©Õ¹×ÅÒªº¦×÷Óᣡ£¡£¡£¡£¡£¡£
2121·Ç·²
¼××´ÏÙÖ×ÁöÕï¶ÏÕûÌ廯½â¾ö¼Æ»®
2121·Ç·²ÒÔÁÙ´²¿Í»§ÐèÇóΪµ¼Ïò£¬£¬£¬£¬£¬£¬£¬£¬ÒÀ¾Ýº£ÄÚÍâÕïÁÆÖ¸Äϼ°×îеÄÑо¿Ï£Íû£¬£¬£¬£¬£¬£¬£¬£¬ÒÀÍÐÓ«¹â¶¨Á¿PCRƽ̨¡¢Êý×ÖPCRƽ̨¡¢¸ßͨÁ¿²âÐò£¨NGS£©Æ½Ì¨ÒÔ¼°¶à×éѧƽ̨£¬£¬£¬£¬£¬£¬£¬£¬´òÔìÁ˼××´ÏÙÖ×ÁöÕï¶ÏÕûÌ廯½â¾ö¼Æ»®£¬£¬£¬£¬£¬£¬£¬£¬ÊÊÓÃÓÚ¼××´ÏÙÖ×ÁöµÄÒÅ´«Î£º¦ÆÀ¹À¡¢Á¼¶ñÐÔ¸¨ÖúÕï¶Ï¡¢ÊõʽѡÔñ¡¢°ÐÏòÓÃÒ©Ö¸µ¼¡¢Ô¤ºóÆÀ¹À¼°¿ÆÑ§Ñо¿µÈ£¬£¬£¬£¬£¬£¬£¬£¬Íƶ¯Ö×Áö¾«×¼Ò½ÁƵĸßÖÊÁ¿Â䵨ºÍÎȲ½Éú³¤£¬£¬£¬£¬£¬£¬£¬£¬·þÎñÁÙ´²£¬£¬£¬£¬£¬£¬£¬£¬ÆÕ»ÝÀèÃñ¡£¡£¡£¡£¡£¡£¡£

