¸Ã°¸Àýͨ¹ýʹÓúê»ùÒò¶þ´ú²âÐòÊÖÒÕ£¨mNGS)¸¨ÖúÁÙ´²ÅжÏÓëʶ±ð²»Ã÷Ôµ¹ÊÔÓÉÀÛ»ý¸¹Ë®ÖÐAnncaliia algerae²¡Ô£¬£¬£¬£¬£¬ÎªÁÙ´²ÕïÁÆÌṩÒÀ¾Ý£¬£¬£¬£¬£¬Ç¿Á¦Õ¹ÏÖÁËmNGSÔÚÒÉÄÑ»ò²»Ã÷Ôµ¹ÊÔÓÉѬȾ²¡ÀýµÄÔçÆÚÕï¶ÏºÍ¸öÌ廯ÖÎÁÆÖУ¬£¬£¬£¬£¬¾ßÓÐDZÔÚµÄÓ¦ÓüÛÖµ¡£¡£¡£¡£¡£¡£
Ñо¿Åä¾° Anncaliia algerae (A. algerae)ÊÇרÐÔϸ°ûÄÚ¼ÄÉúµÄ΢æß×ӳ档¡£¡£¡£¡£¡£×÷ΪһÖÖ»ú»áÐÔ²¡ÔÌ壬£¬£¬£¬£¬Ëü¿ÉÒÔѬȾ¶àÖÖËÞÖ÷£¬£¬£¬£¬£¬ÓÈÆäÀ§ÈÅ×Å»¼ÓÐÀà·çʪÐÔÊàŦÑס¢Æ÷¹ÙÒÆÖ²ºÍѪҺϵͳ¶ñÐÔÖ×ÁöµÈÃâÒß¹¦Ð§µÍÏÂÈËȺ¡£¡£¡£¡£¡£¡£ ¼¡Ñ×ÊÇA. algeareѬȾ×î³£¼ûµÄ¼²²¡ÌåÏÖ¡£¡£¡£¡£¡£¡£±ðµÄ£¬£¬£¬£¬£¬ÈËÀà΢æß×Ó³æ¿ÉÒÔÇÖȾ°üÀ¨³¦µÀ¡¢¸Î¡¢·Î¡¢ÄÔµÈÆ÷¹Ù£¬£¬£¬£¬£¬Æ¤·ô¡¢ÑÛ¾¦¡¢Éù´øµÈ²¿Î»Ò²Ôø±¬·¢A. algeraeѬȾ¡£¡£¡£¡£¡£¡£A. algeraeѬȾ¾ßÓнϸßéæÃüΣº¦£¬£¬£¬£¬£¬Òò´Ë£¬£¬£¬£¬£¬×¼È·Õï¶ÏºÍʵʱÖÎÁÆÊ®·ÖÒªº¦¡£¡£¡£¡£¡£¡£
Ñо¿ÄÚÈÝ 63Ë껼ÕßµÄÓÐÊý²»Ã÷Ôµ¹ÊÔÓÉѬȾ
»¼ÕßÁÙ´²²¡³Ì¼°ÖÎÁƼƻ®
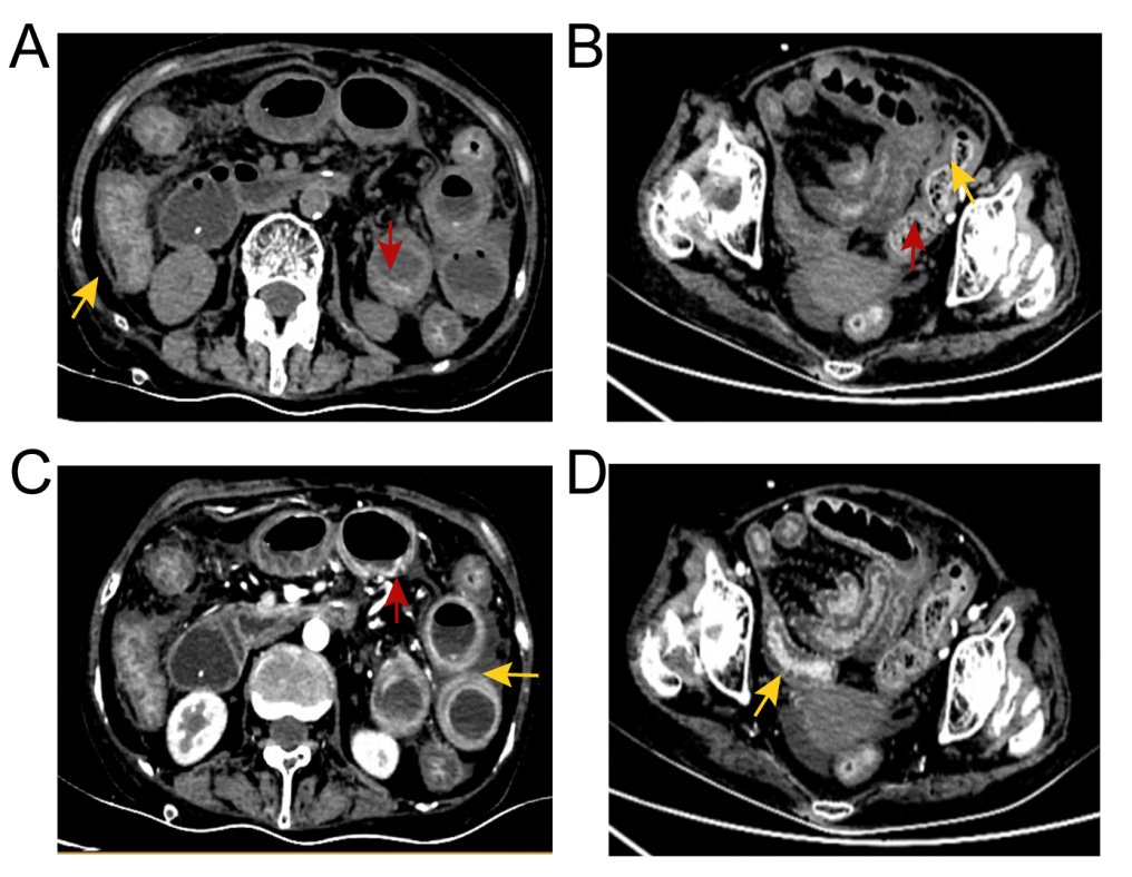
Ò»Ãû63Ë껼ÕßÈëԺǰÓÉÓÚ¼²²¡Ê·ºã¾Ã·þÓÃÃâÒßÒÖÖÆ¼Á¡£¡£¡£¡£¡£¡£ÈëԺʱ£¬£¬£¬£¬£¬»¼ÕßÖ÷ËßʳÓû²»Õñ¡¢¶ñÐÄ¡¢ÍÂÄæ¡¢¸¹Õ͵ÈÖ¢×´ÒÑÒ»Á¬½üÒ»ÖÜ¡£¡£¡£¡£¡£¡£ ¾Ìå¸ñ¼ì²éÏÔʾ£ºË«ÏÂÖ«Ë®Öס¢³¦Ãù΢Èõ¡¢¸¹²¿Ñ¹ÕÍ¡£¡£¡£¡£¡£¡£¼ì²éÀú³ÌÖУ¬£¬£¬£¬£¬»¼ÕßËÄ֫δ¼û¼¡Èâѹʹ£¬£¬£¬£¬£¬¼¡ËἤøˮƽδÓÐÏÔ×ÅÒì³££¬£¬£¬£¬£¬É¨³ý¼¡Ñ׿ÉÄÜ£»£»£»£»£»£»Ë«·ÎºôÎüÒôÇåÎúÇÒÎÞ¸ÉʪÔÓÒô£»£»£»£»£»£»¸ÎÉö¹¦Ð§Ö¸±êÕý³££¬£¬£¬£¬£¬B³¬Ò²ÏÔʾ¸ÎÔà¾ÞϸÐÎ̬Õý³££¬£¬£¬£¬£¬ÃܶÈÔȳƣ»£»£»£»£»£»³¬ÉùÐĶ¯Í¼ÎÞÒì³££¬£¬£¬£¬£¬ÐÄÔàËõ¶ÌºÍÊæÕŹ¦Ð§Õý³££¬£¬£¬£¬£¬¾ùÓë¼ÈÍù±¨µÀA. algeareѬȾµÄÁÙ´²±íÐͲ»·û¡£¡£¡£¡£¡£¡£ »¼Õß½ÓÊÜ¡°³¦¹£×衱µÄÖÎÁƼƻ®£¬£¬£¬£¬£¬ÔÚÖÎÁƽ׶ÎÖи¹ÕͼÓÖØ£¬£¬£¬£¬£¬²¡Çé½øÒ»²½¶ñ»¯¡£¡£¡£¡£¡£¡£ ¸¹²¿ÅÌËã»ú¶Ï²ãɨÃèµÄ´ú±íÐÔͼÏñ¡£¡£¡£¡£¡£¡£»£»£»£»£»£»ÆÉ«¼ýÍ·ÏÔʾ³¦±ÚÔöºñºÍճĤˮÖ×£»£»£»£»£»£»ºìÉ«¼ýÍ·ÏÔʾð¤Ä¤³äѪ£»£»£»£»£»£»³¦±ÚÖÜΧģºýµÄÖ¬·¾¼ä϶Åú×¢¸¹Ç»»ýÒº¡£¡£¡£¡£¡£¡£
¸¹²¿ÅÌËã»ú¶Ï²ãɨÃè(CT)ÏÔʾ¸ÎÔà¡¢µ¨ÄÒ¡¢ÉöÔà¡¢ÒÈÏÙ¡¢×Ó¹¬ºÍ°òë×δ¼ûÒìÑù£¬£¬£¬£¬£¬µ«³¦±ÚÔöºñ£¬£¬£¬£¬£¬³¦±ÚÖÜΧ֬·¾¿Õ¼äÄ£ºý£¬£¬£¬£¬£¬Õ³Ä¤Ë®Ö×£¬£¬£¬£¬£¬¸¹Ç»ÖдæÓдó×Ú¸¹Ë®¡£¡£¡£¡£¡£¡£ÓÚÊÇ£¬£¬£¬£¬£¬ÔÚ³¬ÉùÖ¸µ¼Ï¶Ի¼ÕßÐи¹Ç»´©´ÌºÍ¸¹Ë®ÒýÁ÷¡£¡£¡£¡£¡£¡£¸¹Ë®Ñù±¾µÄ¿¹ËáȾɫ¡¢Î¢ÉúÎï×÷Óý£¨Ï¸¾úºÍÕæ¾ú£©¼°Ï¸°û²¡ÀíѧЧ¹û¾ùΪÒõÐÔ¡£¡£¡£¡£¡£¡£
mNGS¼ì²â¸¨ÖúÕïÁÆÖÕÉúЧ¹û mNGSÅжϸ¹Ë®ÖÐA.algeare²¡ÔÌå Ëæºó£¬£¬£¬£¬£¬ÏÔ΢¾µÏÂÊӲ쵽¸¹Ë®Öб£´æÒ»´Ø2-3¦ÌmµÄÂÑÇòÐÎæß×Ó¡£¡£¡£¡£¡£¡£mNGSÒªÁì½øÒ»²½ÆÊÎö¸¹Ë®ÖÐA. algeraeѬȾ¡£¡£¡£¡£¡£¡£Í¬Ê±£¬£¬£¬£¬£¬´ó±ã¾µ¼ìµÄ΢æß×Ó³æÒõÐÔЧ¹ûÅú×¢£¬£¬£¬£¬£¬Ñ¬È¾²¢·Ç³¦µÀȪԴ¡£¡£¡£¡£¡£¡£ ÓÚÊÇ£¬£¬£¬£¬£¬ÁÙ´²Ò½ÉúΪ»¼ÕßÈ·¶¨Á˻ǰ·¼×¶ñßò/¼×ÑõÜÐà¤(SMZ/TMP£»£»£»£»£»£»800 mg /160 120 mg 4¡Á/Ìì)ÍŽᰢ±½´ïßò(400 mg 2¡Á/Ìì)µÄÖÎÁƼƻ®¡£¡£¡£¡£¡£¡£
Ñо¿×Ü½á ±¾°¸Àýͨ¹ýÓ¦ÓÃmNGSÊÖÒÕ£¬£¬£¬£¬£¬Ê×´ÎÔÚÃâÒß¹¦Ð§ÊÜËð»¼Õ߸¹Ë®ÖÐÀÖ³ÉÅжÏÁËA. algeareÕâÒ»ÓÐÊý²¡ÔÌå¡£¡£¡£¡£¡£¡£ÕâÒ»·¢Ã÷²»µ«¸»ºñÁËÁÙ´²¶ÔA. algeareѬȾÏà¹Ø±íÐ͵ÄÊìϤ£¬£¬£¬£¬£¬¸ü͹ÏÔÁËÔÚÃæÁÙÃâÒß¹¦Ð§µÍÏ»¼ÕßÖзºÆðµÄ²»Ã÷Ôµ¹ÊÔÓɸ¹Ë®ÀÛ»ýʱ£¬£¬£¬£¬£¬Ë¼Á¿ÓÐÊýÉúÎïÌåѬȾµÄÐëÒªÐÔ¡£¡£¡£¡£¡£¡£ ÔÚÓ¦¶ÔÁÙ´²ÒÉÄÑ»ò²¡Òò²»Ã÷µÄѬȾ²¡Àýʱ£¬£¬£¬£¬£¬mNGSÊÖÒÕÄܹ»ÖÜÈ«¼ì²âÑù±¾ÖеÄËùÓкËËáÐòÁУ¬£¬£¬£¬£¬ÎÞÂÛÊDz¡¶¾¡¢Ï¸¾ú¡¢Õæ¾úÕվɼÄÉú³æ£¬£¬£¬£¬£¬¶¼ÄÜÔÚÖØ´óµÄ΢ÉúÎïȺÂäÖо«×¼¶¨Î»²¡ÔÌ壬£¬£¬£¬£¬ÎªÒ½ÉúÖÆ¶©¸öÐÔ»¯ÖÎÁƼƻ®ÌṩÁËÓÐÁ¦µÄ¿ÆÑ§ÒÀ¾Ý¡£¡£¡£¡£¡£¡£