ÂÛÎÄÐû²¼½ØÍ¼
¸Ã»¼ÕßµÄѪҺÑù±¾¾ÙÐÐÁËÈ«ÍâÏÔ×Ó²âÐò£¨Whole Exome Sequencing, WES£©£¬£¬£¬£¬£¬£¬£¬Ð§¹û֤ʵËý»¼ÓÐCYP11B2/CYP11B1ÈںϻùÒòËùÖµÄ11¦Â-ôÇ»¯Ã¸È±·¦Ö¢¡£¡£¡£¡£¡£¡£¡£¿ËÈÕ£¬£¬£¬£¬£¬£¬£¬ÕâÏîÓÉ2121·Ç·²ºÍÄþ²¨´óѧÁ¥ÊôµÚÒ»Ò½ÔºÄÚÉøÍ¸¿ÆºÏ×÷µÄÑо¿Ð§¹û£¬£¬£¬£¬£¬£¬£¬½ÒÏþÓÚ¹ú¼ÊÆÚ¿¯¡¶Frontiers in Endocrinology¡·£¨ÎåÄêÓ°ÏìÒò×Ó5.9/ÄÚÉøÍ¸Ñ§Óë´úлQ2£©¡£¡£¡£¡£¡£¡£¡£
¼²²¡Åä¾° ÏÈÌìÐÔÉöÉÏÏÙÆ¤ÖÊÔöÉúÖ¢£¨congenital adrenal hyperplasia£¬£¬£¬£¬£¬£¬£¬CAH£©ÊÇÒ»×éÒòÉöÉÏÏÙÆ¤Öʼ¤ËغϳÉ;¾¶ÖÐøȱÏÝÒýÆðµÄ¼²²¡£¡£¡£¡£¡£¡£¡£¬£¬£¬£¬£¬£¬£¬ÎªÓÐÊýµÄ³£È¾É«ÌåÒþÐÔÒÅ´«²¡¡£¡£¡£¡£¡£¡£¡£ ÆäÖУ¬£¬£¬£¬£¬£¬£¬ÒÔ21-ôÇ»¯Ã¸È±·¦Ö¢£¨21-OHD£©×îΪ³£¼û£¬£¬£¬£¬£¬£¬£¬Õ¼90%-95%¡£¡£¡£¡£¡£¡£¡£Æä´ÎΪ11¦Â-ôÇ»¯Ã¸È±·¦Ö¢£¨11¦Â-OHD£©£¬£¬£¬£¬£¬£¬£¬Õ¼5%-8%¡£¡£¡£¡£¡£¡£¡£11¦Â-ôÇ»¯Ã¸ÓÉCYP11B1»ùÒò±àÂ룬£¬£¬£¬£¬£¬£¬´ß»¯11-ÍÑÑõƤÖÊ´¼ºÍ11-ÍÑÑõƤÖÊͪ£¨DOC£©×ª»¯ÎªÆ¤ÖÊ´¼ºÍƤÖÊͪ¡£¡£¡£¡£¡£¡£¡£11¦Â-ôÇ»¯Ã¸µÄȱ·¦µ¼ÖÂ11-ÍÑÑõƤÖÊ´¼¡¢DOCºÍغͪˮƽÉý¸ß£¬£¬£¬£¬£¬£¬£¬DOCºÍغͪµÄÐî»ýµ¼Ö¸ßѪѹºÍÄÐÐÔ»¯¡£¡£¡£¡£¡£¡£¡£¶øÆ¤ÖÊ´¼ÌìÉúȱ·¦»á´Ì¼¤´ÙÉöÉÏÏÙÆ¤Öʼ¤ËØ£¨ACTH£©µÄÊÍ·Å£¬£¬£¬£¬£¬£¬£¬µ¼ÖÂÉöÉÏÏÙÆ¤ÖÊÔöÉú¡£¡£¡£¡£¡£¡£¡£
ÁÙ´²ÌåÏÖ
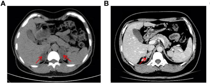
¸Ã»¼ÕßÊÇÒ»Ãû37ËêµÄÅ®ÐÔ£¨ºËÐÍΪ46£¬£¬£¬£¬£¬£¬£¬XX£©£¬£¬£¬£¬£¬£¬£¬Í¯Äêʱ±£´æÉú³¤¼ÓËÙ£¬£¬£¬£¬£¬£¬£¬ÇÒ»éºóһֱδÓÐÉí¡£¡£¡£¡£¡£¡£¡£2019ÄêÒòÒÉÕïË«²àÉöÉÏÏÙÖ×ÁöÈëÔº£¨Í¼1A£©£¬£¬£¬£¬£¬£¬£¬Ç°ºó¾ÙÐÐÁËÁ½´ÎÉöÉÏÏÙÇгýÊõ¡£¡£¡£¡£¡£¡£¡£2022Ä꣬£¬£¬£¬£¬£¬£¬»¼ÕßÓÉÓÚÔ¾²»¹æÔò±»ÊÕÈëÄÚÉøÍ¸¿Æ£¬£¬£¬£¬£¬£¬£¬CTÏÔʾÓÒÉöÉÏÏÙÆ¤ÖÊÔöÉú¸´·¢£¨Í¼1B£©£¬£¬£¬£¬£¬£¬£¬Ìå¸ñ¼ì²éÏÔʾ¸Ã»¼Õ߯¤·ôÉ«ËØÀä¾²£¬£¬£¬£¬£¬£¬£¬Ã沿ÓÐðî´¯ºÍ÷×룬£¬£¬£¬£¬£¬£¬·ºÆðÄÐÐÔ»¯ÌåÕ÷£¬£¬£¬£¬£¬£¬£¬Éú»¯¼ì²éÌáÐѵͼØÐÔ¸ßѪѹ£¬£¬£¬£¬£¬£¬£¬¸ßÐÛѪ֢¡£¡£¡£¡£¡£¡£¡£¾ùÌáÐÑ11¦Â-OHDÕï¶Ï¡£¡£¡£¡£¡£¡£¡£
ͼ1 »¼Õ߸¹²¿CTÓ°Ïñ
¼ì²âЧ¹û
¸Ã»¼ÕßѪҺÑù±¾ËÍÖÁ2121·Ç·²ÊµÑéÊÒ¾ÙÐÐÉöÉÏÏÙÆ¤ÖÊÔöÉú¼ì²â£¨°üÀ¨È«ÍâÏÔ×Ó²âÐòºÍCYP21A2¼ì²â£©¡£¡£¡£¡£¡£¡£¡£¼ì²âЧ¹ûÏÔʾ£¬£¬£¬£¬£¬£¬£¬CYP21A2»ùÒòδ·¢Ã÷ÈκαäÒ죬£¬£¬£¬£¬£¬£¬µ«¾È«ÍâÏÔ×Ó²âÐò·¢Ã÷»¼Õß¼ì³öÒ»¸öλÓÚCYP11B1»ùÒò1ºÅÍâÏÔ×ӵĴíÒåÍ»±äCYP11B1:c.203T>G (p.Val68Gly)£¨Í¼2A¡¢2B£©¡£¡£¡£¡£¡£¡£¡£¸Ã±äÒìÎ´ÔøÔÚÊý¾Ý¿âºÍÎÄÏ×Öб»±¨µÀ£¬£¬£¬£¬£¬£¬£¬Í¨¹ý¶Ô¸Ã±äÒìµÄÊØ¾ÉÐÔºÍÈýάÂѰ׽ṹµÄÆÊÎö£¨Í¼2C¡¢2D£©£¬£¬£¬£¬£¬£¬£¬Ë¼Á¿¸Ã±äÒì¿ÉÄÜΪÖ²¡ÐÔ¡£¡£¡£¡£¡£¡£¡£
ͼ2 CYP11B1:p.Val68Gly¼ì²âЧ¹û¼°ÆÊÎö ͬʱ£¬£¬£¬£¬£¬£¬£¬»ùÓÚÈ«ÍâÏÔ×Ó²âÐòµÄ¿½±´Êý±äÒìÆÊÎö£¨WES-CNV£©£¬£¬£¬£¬£¬£¬£¬¼ì³öÒ»¸öÁýÕÖCYP11B2»ùÒò7-9ºÅÍâÏÔ×ÓºÍCYP11B1»ùÒò1-6ºÅÍâÏÔ×ӵĿ½±´Êýȱʧ£¨Í¼3A£©£¬£¬£¬£¬£¬£¬£¬Ëæºóͨ¹ýÑé֤֤ʵÁ˸ÿ½±´ÊýȱʧµÄÕæÊµÐÔ£¨Í¼3C£©¡£¡£¡£¡£¡£¡£¡£ ÓÉÓÚCYP11B1ºÍCYP11B2»ùÒò±£´æ¸ß¶ÈͬԴÐÔ£¬£¬£¬£¬£¬£¬£¬¸ÃȱʧÐγÉÁËÒ»¸öÓÉCYP11B2»ùÒò1-6ºÅÍâÏÔ×ÓºÍCYP11B1»ùÒò7-9ºÅÍâÏÔ×Ó×é³ÉµÄCYP11B2/CYP11B1ÈںϻùÒò£¨Í¼3B£©£¬£¬£¬£¬£¬£¬£¬¸ÃÈںϻùÒòÊܵ½CYP11B2Æô¶¯×ӵĵ÷¿Ø£¬£¬£¬£¬£¬£¬£¬µ¼ÖÂCYP11B1µÄÒìλ±í´ïºÍ11¦Â-ôÇ»¯Ã¸»îÐÔϽµ¡£¡£¡£¡£¡£¡£¡£ ͼ3 CYP11B1/CYP11B2ÈںϻùÒò

Ñо¿Ð¡½á CYP11B1/CYP11B2ÈÚºÏÊǵ¼ÖÂ11¦Â-ôÇ»¯Ã¸È±·¦Ö¢µÄÖ÷ÒªÔµ¹ÊÔÓÉ£¬£¬£¬£¬£¬£¬£¬µ«ÓÉÓÚCYP11B1ºÍCYP11B2µÄ¸ß¶ÈͬԴÐÔ£¬£¬£¬£¬£¬£¬£¬¸ÃÈںϻùÒòͨ³£ÄÑÒÔ¼ì²â¡£¡£¡£¡£¡£¡£¡£±¾Ñо¿ÊÇÏÖÔÚÊ×Àý¹ØÓÚʹÓÃÈ«ÍâÏÔ×Ó²âÐò¼ì²â³öÈںϻùÒòËùÖµÄ11¦Â-ôÇ»¯Ã¸È±·¦Ö¢»¼Õߵı¨µÀ£¬£¬£¬£¬£¬£¬£¬»¹Í¬Ê±·¢Ã÷ÁËCYP11B1:p.Val68GlyÐÂÐÍÍ»±ä£¬£¬£¬£¬£¬£¬£¬À©´óÁËCYP11B1»ùÒòµÄ±äÒìͼÆ×¡£¡£¡£¡£¡£¡£¡£ Ëæ×Ŷþ´ú²âÐò(Next-generation Sequencing, NGS)µÄÉú³¤£¬£¬£¬£¬£¬£¬£¬È«ÍâÏÔ×Ó²âÐòÒѳÉΪ´ó´ó¶¼µ¥»ùÒòÒÅ´«²¡µÄÒ»ÏßÕï¶ÏÒªÁì¡£¡£¡£¡£¡£¡£¡£È«ÍâÏÔ×Ó²âÐòÖ÷Òª¼ì²âµÄ±äÒìÀàÐÍΪµ¥ºËÜÕËá±äÒ죨SNV£©ºÍСƬ¶ÏµÄ²åÈëȱʧ£¨InDel£©£¬£¬£¬£¬£¬£¬£¬¶ø»ùÓÚÈ«ÍâÏÔ×Ó²âÐòµÄ¿½±´Êý±äÒìÆÊÎö£¬£¬£¬£¬£¬£¬£¬¿ÉÒÔÔö²¹ÆÊÎö¿½±´Êý±äÒ죨CNV£©£¬£¬£¬£¬£¬£¬£¬µÖ´ïÍâÏÔ×Ó¼¶±ð£¬£¬£¬£¬£¬£¬£¬ÔÚÓÐÊýÒÅ´«²¡µÄÁÙ´²Õï¶ÏÖÐʩչÁËÒªº¦×÷Óᣡ£¡£¡£¡£¡£¡£
2121·Ç·²CAHÏà¹Ø»ùÒò¼ì²âÏîÄ¿
2121·Ç·²ÁÙ´²»ùÒò×éÖÐÐÄÑÏ¿áÆ¾Ö¤ISO15189ÈϿɺÍÃÀ¹úCAPÈÏÖ¤ÒªÇó¾ÙÐÐʵÑéÊÒ±ê×¼ºÍ¹æ·¶µÄ¹ÜÀí£¬£¬£¬£¬£¬£¬£¬¾ß±¸Ñù±¾¼ì²â¡¢ÉúÐÅÆÊÎö¡¢±¨¸æ½â¶Á¡¢ÒÅ´«×Éѯ¡¢×ÔÖ÷Ñз¢µÈ×ÛºÏÄÜÁ¦£¬£¬£¬£¬£¬£¬£¬Æð¾¢¼ÓÈë²¢¸ßˮƽͨ¹ýNCCL¡¢CAP¡¢EMQN¶àÏî¸ßͨÁ¿²âÐòÊÒ¼äÖÊÆÀ¡£¡£¡£¡£¡£¡£¡£ÖÐÐÄ¿ª·¢ÁË»ùÓÚÈ«ÍâÏÔ×Ó²âÐò¡¢¼ÒϵȫÍâÏÔ×Ó²âÐòÒÔ¼°È«»ùÒò×é²âÐòµÄÒÅ´«²¡ÆÊÎöÁ÷³Ì£¬£¬£¬£¬£¬£¬£¬Äܹ»Íê³ÉÖÖÖÖÒÅ´«ÐÔ¼²²¡µÄɸ²éÓëÕï¶Ï¡£¡£¡£¡£¡£¡£¡£