63ËêµÄһλÕ㽴󲮣¬£¬£¬£¬£¬£¬
ÍËÐÝǰ´ÓÊÂÆ¤²Ý¼Ó¹¤Ïà¹ØÊÂÇ飬£¬£¬£¬£¬£¬
±»²»Ã÷Ôµ¹ÊÔÓɵĿ©ÑªÕÛÄ¥¶àÄ꣬£¬£¬£¬£¬£¬
Õ⼸ÄêËûշת¸÷´óÒ½ÔºÇóÒ½£¬£¬£¬£¬£¬£¬
Ö¢×´²»µ«Î´ÄÜ»º½â£¬£¬£¬£¬£¬£¬
·´µ¹Óú·¢ÑÏÖØ¡¡
×îÖÕ£¬£¬£¬£¬£¬£¬ÔÚÕã½´óѧҽѧԺÁ¥ÊôµÚÒ»Ò½ÔººôÎüÓëÖØÖ¢Ò½Ñ§¿ÆÖÜ»ªÖ÷ÈÎÓë2121·Ç·²²Î¹É¹«Ë¾µÏÆ×Õï¶ÏµÄͨÁ¦ºÏ×÷Ï£¬£¬£¬£¬£¬£¬ÃÕÌâ±»½â¿ª¡£¡£¡£¡£¡£¡£¡£¡£
ÔÀ´£¬£¬£¬£¬£¬£¬´ó²®Ñ¬È¾ÁËÒ»ÖÖûÓÐÖÐÎÄÃû³ÆµÄÓÐÊýÕæ¾ú¡ª¡ªArthroderma¡£¡£¡£¡£¡£¡£¡£¡£ËüÊôÓÚÆ¤·ôÑ¢¾úÖÐ×î¶àÑù»¯µÄÊô£¬£¬£¬£¬£¬£¬×îÔçÓÚ1963Äê±»·¢Ã÷£¬£¬£¬£¬£¬£¬²¢´ÓÍö´»òÍÃëµÄÍÁÈÀÖÐÊèÉ¢³öÀ´¡£¡£¡£¡£¡£¡£¡£¡£

¿ËÈÕ£¬£¬£¬£¬£¬£¬µÏÆ×Õï¶ÏÓëÕã½´óѧҽѧԺÁ¥ÊôµÚÒ»Ò½ÔººôÎüÓëÖØÖ¢Ò½Ñ§¿ÆÖÜ»ªÖ÷ÈκÏ×÷£¬£¬£¬£¬£¬£¬½«ÄÉÃ׿ײâÐòÊÖÒÕÓ¦ÓÃÓÚÓÐÊýÕæ¾úµÄÈ«»ùÒò²âÐòÓë½ø»¯ÆÊÎöÑо¿Ð§¹û, ÔÚÏß½ÒÏþÓÚInternational Journal of Infectious Diseases¡¶¹ú¼ÊѬȾ²¡Ñ§¡·ÔÓÖ¾(IF£º12.074)¡£¡£¡£¡£¡£¡£¡£¡£ÕâÊǵÚÒ»ÀýÓÉArthroderma multifidum£¨¼ò³ÆA. multifidum£©ÒýÆðµÄÂýÐԷβ¿Õæ¾úѬȾÈËÀàµÄ²¡Àý¡£¡£¡£¡£¡£¡£¡£¡£
ÖÎÇ·ºÃµÄ½áºË²¡£¡£¡£¡£¡£¡£¡£¡£¿£¿£¿£¿£¿
×ÅʵÊÇÕæ¾úѬȾ
Õâλ´ó²®´Ó2015ÄêÆð£¬£¬£¬£¬£¬£¬¾Í±»¿©Ñª²øÉÏÁË¡£¡£¡£¡£¡£¡£¡£¡£Ëû»¹Ã»À´µÃ¼°ºÃºÃÏíÊÜÍËÐÝÉúÑÄ£¬£¬£¬£¬£¬£¬¾Í×îÏÈÁËÓ벡ħÂþ³¤µÄÀ³¶¡£¡£¡£¡£¡£¡£¡£¡£ËûÒÔΪÊÇ×Ô¼ºÄêÇáʱµÃ¹ý·Î½áºËÂäϵIJ¡¸ù£¬£¬£¬£¬£¬£¬Ê¼ÖÕÎÞ·¨¸ùÖΡ£¡£¡£¡£¡£¡£¡£¡£
µ½ÁË2019Ä꣬£¬£¬£¬£¬£¬Ëû¿ÈѪµÄÖ¢×´Ô½À´Ô½ÑÏÖØ£¬£¬£¬£¬£¬£¬Õ·×ª¶à¼ÒÒ½ÔººóÏòÕã½´óѧҽѧԺÁ¥ÊôµÚÒ»Ò½ÔººôÎüÓëÖØÖ¢Ò½Ñ§¿ÆÖÜ»ªÖ÷ÈÎÇóÖú¡£¡£¡£¡£¡£¡£¡£¡£

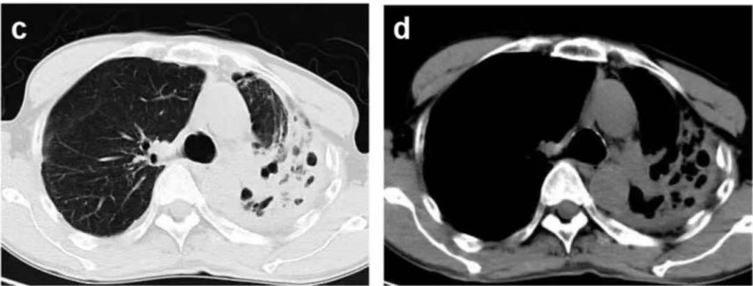
ÐØ²¿CTÏÔʾ×ó·ÎÉÏÒ¶ÓÐÂýÐÔѬȾºÍÊÜËð²¡Ôî
¡°·Î²¿CT¿´ÆðÀ´²»ÏñÊǷνáºË¡£¡£¡£¡£¡£¡£¡£¡£ÎÒÃÇÖØ¸´ÁôÁËÐí¶à´Î̵ͿƬ¶¼Ã»ÓÐÕÒµ½½áºË¸Ë¾ú£¬£¬£¬£¬£¬£¬ÈôÊÇÊǽáºË·ÖÖ¦¸Ë¾ú»ò·ÎÇúù¾ú£¬£¬£¬£¬£¬£¬²»Ó¦ÔÆÔÆ·´Öظ´¸´¡¢¿ØÖƲ»×¡£¡£¡£¡£¡£¡£¡£¡£¡¡±ÖÜ»ªÖ÷ÈÎÌåÏÖ¡£¡£¡£¡£¡£¡£¡£¡£Æ¾Ö¤¸»ºñµÄÁÙ´²ÂÄÀú£¬£¬£¬£¬£¬£¬Ëû³éÈ¡ÁËÖ§Æø¹Ü·ÎÅݹàÏ´Òº(BALF£©ËÍÍùÁÙ´²Î¢ÉúÎïÊÒ×÷Óý¡£¡£¡£¡£¡£¡£¡£¡£
¾ÓÉ×÷Óý·¢Ã÷£¬£¬£¬£¬£¬£¬ÕæÐ×·ºÆðÁË¡ª¡ªÊÇÒ»ÖÖǰËùδ¼ûµÄ˿״ù¾ú£¡

¾úÖêÔÚ35¡æµÄÂíÁåÊíÆÏÌÑÌÇÇíÖ¬×÷Óý»ùÉÏ(PDA)ÑÕÉ«×î³õΪ°×É«£¬£¬£¬£¬£¬£¬Ò»ÖܺóÖð½¥±äΪ»ÆÉ«¡£¡£¡£¡£¡£¡£¡£¡£¾úÂä³Ê·Û×´»ò¿ÅÁ£×´ £¬£¬£¬£¬£¬£¬±âƽ»ò·ÅÉä×´°¼²Û(¼ûÉÏͼa)¡£¡£¡£¡£¡£¡£¡£¡£·ÖÉúæß×Ó³ÊÀæÐΣ¬£¬£¬£¬£¬£¬½üÇòÐλòÍÖÔ²ÐΣ¬£¬£¬£¬£¬£¬Å¼¼û1~2¸ö¸ôĤ¡£¡£¡£¡£¡£¡£¡£¡£·ÖÉúæß×Ó¾ÞϸԼΪ3¦Ìm¡£¡£¡£¡£¡£¡£¡£¡£
ÈéËá·ÓÃÞÀ¶È¾É«ºó£¬£¬£¬£¬£¬£¬¿É¼ûÔ²ÐλòÀæÐηÖÉúæß×ÓÓë͸Ã÷¸ô¾úË¿³ÉÖ±½Ç¸½×Å(¼ûÉÏͼb)¡£¡£¡£¡£¡£¡£¡£¡£
È«»ùÒò×é²âÐòÆÆ½âÃÕÌâ
µÏÆ×Õï¶ÏÄÉÃ׿׵¥·Ö×Ó²âÐòƽ̨¶Ô¸ÃÕæ¾ú¾ÙÐÐÁËÈ«»ùÒò×é²âÐò£¬£¬£¬£¬£¬£¬ÐòÁÐ¾Õæ¾úÊý¾Ý¿â±È¶Ô£¬£¬£¬£¬£¬£¬Ö¤Êµ¸Ã¾úÖêΪA. multifidum¡£¡£¡£¡£¡£¡£¡£¡£¸Ã¾úÖê±»ÃüÃûΪÕã½2016 A. multifidum¡£¡£¡£¡£¡£¡£¡£¡£
ArthrodermaÊÇÆ¤·ôÑ¢¾úÖÐ×î¶àÑù»¯µÄÊô£¬£¬£¬£¬£¬£¬×îÔçÓÚ1963Äê±»·¢Ã÷£¬£¬£¬£¬£¬£¬²¢´ÓÍö´»òÍÃëµÄÍÁÈÀÖÐÊèÉ¢³öÀ´¡£¡£¡£¡£¡£¡£¡£¡£

»ùÓÚÄÉÃ׿׵¥·Ö×Ó²âÐòƽ̨¶ÔÕã½2016 A. multifidumµÄÈ«»ùÒòÐòö¾ÙÐвⶨÆÊÎö¡£¡£¡£¡£¡£¡£¡£¡£Ð§¹ûÏÔʾ£¬£¬£¬£¬£¬£¬A. multifidumÈ«»ùÒò×é¾ÞϸΪ23.22Mb(N50=2.50Mb)£¬£¬£¬£¬£¬£¬ÓÉ23¸öcontigs×é³É(¼ûϱí)¡£¡£¡£¡£¡£¡£¡£¡£È«»ùÒò×éÖÐGCº¬Á¿Õ¼±È50.18%¡£¡£¡£¡£¡£¡£¡£¡£BLAST±È¶ÔÆÊÎöÏÔʾ£¬£¬£¬£¬£¬£¬´ËÐòÁÐÓëNCBI½ÒÏþµÄA. multifidumµÄ18S¡¢ITS1¡¢5.8S¡¢ITS2ºÍ28S»ùÒòµÄÆ¥Åä¶ÈµÖ´ï99.82%¡£¡£¡£¡£¡£¡£¡£¡£

A. multifidumϵͳ½ø»¯Ê÷
±ðµÄ£¬£¬£¬£¬£¬£¬±¾Ñо¿»¹¾ÙÐÐÁË»ùÒòÕ¹Íû¡¢ÆðÔ´¹¦Ð§×¢ÊͺÍϵͳ·¢ÓýÆÊÎö¡£¡£¡£¡£¡£¡£¡£¡£Ð§¹ûÏÔʾ£¬£¬£¬£¬£¬£¬±¾Ñо¿ÒÑÀֳɶÔ6653¸ö»ùÒò¾ÙÐÐÕ¹Íû£¬£¬£¬£¬£¬£¬¶ÔCOGÊý¾Ý¿âÖÐÆ¥ÅäµÄ5287¸ö»ùÒò¾ÙÐй¦Ð§·ÖÀ࣬£¬£¬£¬£¬£¬·ÖÊôÓÚ25¸öÖֱ𡣡£¡£¡£¡£¡£¡£¡£½ÓÄÉGO×¢ÊÍ·¨¶ÔÕã½2016 A. multifidumµÄÕ¹Íû»ùÒò¾ÙÐÐͬԴÐòÁÐÆÊÎö¡£¡£¡£¡£¡£¡£¡£¡£Æ¾Ö¤Í¬Ô´ÐÔˮƽ£¬£¬£¬£¬£¬£¬3314¸ö»ùÒò±»·ÖΪ3¸öÄ£¿£¿£¿£¿£¿é(ÉúÎïÀú³Ì¡¢Ï¸°ûÒòËØºÍ·Ö×Ó¹¦Ð§)¡£¡£¡£¡£¡£¡£¡£¡£¶øÓëKEGGÊý¾Ý¿âµÄÐòÁбȶÔÔòÏÔʾÁË402Ìõͨ·£¬£¬£¬£¬£¬£¬Éæ¼°3732¸ö»ùÒò£¬£¬£¬£¬£¬£¬²¢¶ÔÕã½2016 A. multifidum Öê¿ÉÄܱ¬·¢µÄDZÔÚÉúÎïѧ;¾¶¾ÙÐиÅÊö¡£¡£¡£¡£¡£¡£¡£¡£
¾ÓÉÖÎÁÆ£¬£¬£¬£¬£¬£¬´ó²®µÄÖ¢×´ÏÔ×Å»º½â£¬£¬£¬£¬£¬£¬²¢ÔÚÖ®ºóΪÆÚ2ÄêÁã9¸öÔµÄËæ·ÃÖÐûÓи´·¢¡£¡£¡£¡£¡£¡£¡£¡£
ÄÉÃ׿׵¥·Ö×Ó²âÐò
ΪÁÙ´²¾«×¼ÕïÁÆÌá¹©ÖØ´ó¼ÛÖµ
±¾Ñо¿Àֳɷ¢Ã÷µÚÒ»ÀýÓÉA. multifidumÒýÆðµÄÈËÀà·Î²¿ÂýÐÔѬȾ²¡Àý£¬£¬£¬£¬£¬£¬Åú×¢¸ÃÕæ¾ú¿ÉÒýÆðÈËÐó¹²»¼Ñ¬È¾£¬£¬£¬£¬£¬£¬ÇÒÊ״λùÓÚÄÉÃ׿׵¥·Ö×Ó²âÐòƽ̨Íê³ÉÁׯÃÕæ¾úµÄÈ«»ùÒò×é²âÐòºÍϵͳ½ø»¯ÆÊÎö¡£¡£¡£¡£¡£¡£¡£¡£Ñо¿Ò²³ä·Ö֤ʵ£¬£¬£¬£¬£¬£¬ÄÉÃ׿ײâÐòÊÖÒÕÒòÆä³¤¶Á³¤¡¢PCR freeµÄÊÖÒÕÓÅÊÆÔÚδ֪/ÓÐÊýÕæ¾úµÄ¼ì²â·½Ã棬£¬£¬£¬£¬£¬ÄÜ×î´óÏ޶ȱ£´æÔʼÐòÁеı£Õæ¶È£¬£¬£¬£¬£¬£¬¿É×÷Ϊδ֪/ÓÐÊý²¡ÔÌå·¢Ã÷µÄÓÐÁ¦¹¤¾ß¡£¡£¡£¡£¡£¡£¡£¡£
»ú»áÐÔÕæ¾úѬȾµÄ¼±¾çÔöÌíÒ²¶Ô¿ìËÙ¡¢×¼È·µÄÁÙ´²Õï¶ÏÒªÁìÌá³ö¸ü¸ßÐèÇ󡣡£¡£¡£¡£¡£¡£¡£µÏÆ×Õï¶Ï»ùÓÚÄÉÃ׿׵¥·Ö×Ó²âÐòÊÖÒÕÒÑ¿ª·¢µÏÆ×ÄÉ?²¡Ôºê»ùÒò×é²âÐò¡¢µÏÆ×¿×?²¡Ô¶àÖØ°ÐÏò²âÐò¡¢µÏÆ×¿×?16S rDNAÈ«³¤²âÐòµÈ¶àÏîÍâµØ»¯½â¾ö¼Æ»®£¬£¬£¬£¬£¬£¬¿ìËÙ¡¢×¼È·¡¢¸ßЧµØÅбðѬȾ²¡ÔÌåµÄͬʱ£¬£¬£¬£¬£¬£¬Ò²ÎªÁÙ´²¾«×¼Ñ¡ÔñÒ©ÎïÌṩ²Î¿¼ÒÀ¾Ý¡£¡£¡£¡£¡£¡£¡£¡£
Õæ¾úϲ»¶²øÉÏÄÄЩÈË£¿£¿£¿£¿£¿
1
ѪҺ²¡»ò¶ñÐÔÖ×Áö»¯Áƺó°×ϸ°ûµÍÏµĻ¼Õߣ»£»£»£»£»£»
2
»¼ÓÐÀà·çʪÐÔÊàŦÑס¢ÌÇÄò²¡»ò¶àÖÖ¼²²¡µ¼ÖÂÃâÒß¹¦Ð§µÍϵÄÈË£»£»£»£»£»£»
3
Ò»¾ºã¾ÃʹÓùãЧ¿¹ÉúËØµÄÈË£»£»£»£»£»£»
4
³Â¸¯ÐԷνáºË»òÆäËûÔµ¹ÊÔÓɵ¼Ö·β¿½á¹¹¸Ä±ä¡¢·Î¹¦Ð§µÍϵÄÈË£»£»£»£»£»£»
5
ÖÖÖÖÔµ¹ÊÔÓÉ̻¶ÔÚ¸»º¬Õæ¾úæß×ÓÇéÐÎÏ£¨¸¯°ÜÖ²Î͸·ç²»Á¼¡¢¿ÕÆøÊªÈó¡¢ÐÞ½¨Îï²ð½¨¹¤µØµÈ£©£¬£¬£¬£¬£¬£¬ÇÒ²»´÷¿ÚÕÖ¾ÙÐзÀ»¤µÄÈË¡£¡£¡£¡£¡£¡£¡£¡£